齿衄

本词条由 国家中医药管理局名词术语规范推广项目 审核认证

本词条由
北京中医药大学东直门医院 李佳瑜 主任医师
审核
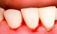
齿衄,中医病名。是指血自齿缝牙龈溢出为主要临床表现的病证。又称为牙衄、牙宣。多因胃经积热,阴虚火旺,或心脾两虚,血不循经所致。与胃、肾有关。主要见于西医牙龈炎及维生素C缺乏症,某些感染性发热疾病、血液病、药物中毒等。
英
文
名
称
:
gum bleeding
其
它
名
称
:
牙衄、牙宣
相
关
中
医
疾
病
:
牙龈炎及维生素C缺乏症,某些感染性发热疾病、血液病(如血友病、白血病、血小板减少性紫癜、再生障碍性贫血)、药物中毒
就
诊
科
室
:
血液内科、口腔科
常
见
症
状
:
血自齿龈或齿缝外溢
主
要
病
因
:
胃经积热,阴虚火旺,或心脾两虚
基本病因
1、胃火内炽
醇酒厚味,浊邪壅积于胃,久蕴化热,或嗜辛燥而生胃火。下齿属手阳明经,上齿属足阳明经。阳明郁热,胃火上炎,上灼其络,络损则血溢。
2、阴虚火炎
多与房室过度、疲劳、久病等有关,肾阴亏虚,肾火内动。肾主骨,齿为骨之余;肾虚则齿不固,火动则血妄行,故成齿衄。
此外,热毒内蕴以及气虚不能摄血亦能引起齿衄。
实验室检查
对每一位血证患者应将红细胞、血红蛋白、白细胞计数及分类、血小板计数作为必须进行的检查,在此基础上根据各种血证的不同情况进行相应的检查。必要时尚需进行骨髓穿刺,以协助诊断。
诊断原则
血自齿龈或齿缝外溢,且排除外伤所致者,即可诊断为齿衄。
诊断依据
血自齿龈或齿缝外溢,且排除外伤所致者,即可诊断为齿衄。
鉴别诊断
齿衄与舌衄
齿衄为血自齿缝、牙龈溢出;舌衄为血出自舌面,舌面上常有如针眼样出血点,与齿衄不难鉴别。
治疗原则
治疗当以止血为主,同时应根据出血的不同原因,分别采用清胃泻火、滋阴降火、清热解毒、凉血止血以及补气摄血等不同方法。齿初起邪实为主者,治以清泻;日久气血亏虚,治当重在补养。
其他治疗
1、生石膏30g,黄柏、五倍子各15g,儿茶6g,浓煎漱口。
2、冰硼散水溶液,漱口。
3、白芨散或三七粉棉片,局部压迫。
4、肾上腺素注射液,浸棉球塞压出血处。明胶海绵、止血纤维压迫止血。
预防措施
1、积极治疗可以引起齿衄的各种疾病,是防止齿衄发生的关键。
2、平时注意口腔卫生,养成早晚刷牙习惯,禁止剔牙。
3、少食辛辣香燥食物及过冷过热之品。
4、生活应有规律,不宜多度劳累。
5、避免房劳过度。
6、戒酒。
目录
概述
病因
基本病因检查
实验室检查诊断
诊断原则诊断依据鉴别诊断治疗
治疗原则其他治疗预防
预防措施
轻触这里
关闭目录

